Trys paprasti žingsniai iki sveikos odos

Katru iesniegto gadījumu izvērtē tikai pieredzējuši, licencēti dermatologi – individuāli un atbildīgi.
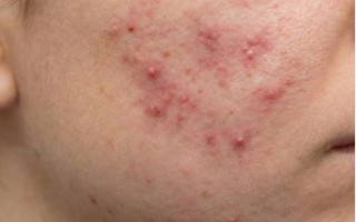
Diagnoze nosaka patyrę gyd. dermatologi, individualai įvertinęs atvejį
Atsakymas par 24 val. darbo dienas - bieži dar ātrāk
Receptiniai ir nereceptiniai vaistai
Jūsų duomenys matomi tik ārsti.
Gydymo eiga, veiksmai ir praktiniai patarimai.
Jā. Konsultācijas sniedz tikai licencēti un pieredzējuši dermatologi.
Parasti 24 stundu laikā. Brīvdienās un svētku dienās — 48 stundu laikā.
Jā, ja tas ir medicīniski pamatots. Ārsts var izrakstīt gan recepšu, gan bezrecepšu zāles.
Jā, mēs sniedzam arī konsultācijas par bērnu ādas problēmām.
Jā. Mēs atbildīgi glabājam jūsu informāciju, un tā ir redzama tikai jūsu ārstam.

Kiekvienas pacientas gauna individualų, išsamus planą su vaistų rekomendacijomis ir tolimesniais žingsniais.
Trumpas klausimynas padeda precīzāk novērtēt.
Katrs atvejis vertėmas individualai.
Tekstinis atsakymas išsiunčiamas į Jūsų telefoną ir el. makaroni.
Nežinote kas tai? Mes atrastime noskaidrot